Skip to main content Accessible Version
Cosmetic Dentistry
Start Your Smile Transformation Today

Our cosmetic dental services can help enhance your smile and boost your confidence.

anderson man smiling with bright smile
Do You Have Yellow, Discolored, or Crooked Teeth?
Call Us Today

Cosmetic Dentistry in Anderson, SC

Your smile isn’t just part of your body, it is part of your identity. 

When patients come to us unhappy about the way their teeth look, the first thing we do is reassure them. You can have a smile that makes you feel great and gives you confidence.

Dr. Carter isn’t just a dentist. He is also an artist!

In dentistry, the combination of both science and art is what draws people like Dr. Carter to dentistry in the first place. Even routine dentistry, such as fillings, can be designed in such a way that they actually complement your smile. So, in a sense, all dentistry is cosmetic!

Many people would like to improve their smiles but feel that cosmetic dentistry might be out of their reach. Our dentists offer solutions that will work for most budgets.

man hugging woman from behind while she sits on the couch in andersonProfessional Teeth Whitening in Anderson, SC

Choosing to bleach away the stains from your teeth is one of the most affordable ways to give your smile a boost. Stains collect as we age, even without habits such as tobacco use. It’s just a natural part of life.

You don’t have to settle for a yellow smile!

We create custom teeth whitening systems that make it possible for our patients to bleach away years from the way they look.

We create custom whitening trays, supply professional-strength gel, and give you detailed instructions on how to proceed with treatment. The best part is that you can keep your whitening trays and use them again and again, giving you a white smile for a lifetime.

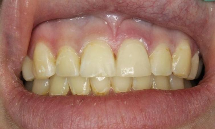
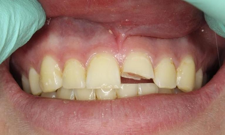
Tooth-Colored Cosmetic Bonding

If you have some flaws when it comes to your smile, we can help.

  • Chips
  • Gaps
  • Discoloration
  • Misshapen or damaged teeth
  • Worn or short teeth

close up of woman's straight smile after cosmetic dentistryYou might be surprised at the results that Dr. Carter is able to achieve with dental bonding! He can improve the appearance of one tooth or many teeth using this affordable approach to cosmetic dentistry by reshaping teeth and giving them a beautiful, natural appearance.

Cosmetic dental bonding is a non-invasive way to make affordable repairs to your teeth because it adds to your existing tooth structure without a lot of prep work or a dental lab. Dr. Carter provides great results using this method. Dental bonding can often be completed in one appointment!

Big Changes for Beautiful Smiles

Whether you are seeking a completely new look or you have suffered trauma that destroyed your smile, schedule a consultation with Dr. Carter. We offer the full range of cosmetic dentistry treatments to help you achieve a look that makes you feel confident.

Porcelain crowns – Crowns can replace large, dark amalgam fillings or help rebuild a worn-down tooth.

Dental implants – Nothing stands out like a gap in your smile. Dental implants are a great long-term solution for tooth loss.

Porcelain veneers – Veneers are thin tooth-like restorations that actually cover the front of your natural tooth. They can help make your smile look whiter, more uniform, straighter, and even lengthen your teeth.

Full smile makeovers – We can design a complete plan that will incorporate many of the services we offer to give you your dream smile. Dr. Carter will discuss your goals and design a smile that looks natural and beautiful on you.

Call Us to Schedule a Cosmetic Dentistry Consultation in Anderson

We create beautiful smiles every day for our patients here in Anderson and the surrounding communities. Even if you are just curious, give Hopewell Family Dentistry a call to learn about the possibilities.

Evelyn loves her new beautiful smile!

Frequently Asked Questions

That is a common misconception! Cosmetic dentistry does not have to be expensive.

At Hopewell Family Dentistry, Dr. Patrick Carter offers a number of affordable options to improve your smile. 

woman smiling Common Cosmetic Dental Procedures

Teeth whitening is a great way to take years off of your appearance. With professional teeth whitening, you can get great results in just a couple of weeks. Professional teeth whitening is superior to over-the-counter products because Dr. Carter will create custom trays and choose a whitening option that works best for you.

Tooth-colored fillings can replace dark fillings that may leave a mark on your smile. Over time, amalgam fillings can cause your whole tooth to take on a gray hue. Replacing your dark fillings can improve the appearance of your teeth.

Cosmetic dental bonding is a non-invasive and affordable way to improve the appearance of your teeth by fixing chips, gaps, wear, misshapen, or damaged teeth. While cosmetic dental bonding cannot repair every problem, Dr. Carter enjoys this procedure and can work wonders in one appointment. 

Contact Our Anderson, SC Dental Clinic

Whether you want to change something about the way your teeth look or you just want to know what options are out there, contact our Anderson, SC dental office to schedule a cosmetic dentistry consultation.

At Hopewell Family Dentistry, we want you to feel confident when you smile, so we offer a variety of cosmetic services, including professional teeth whitening, to help you achieve your best look. 

woman getting professional teeth whitening in andersonAre You a Candidate for Professional Teeth Whitening?

You are likely eligible for professional teeth whitening if your teeth and gums are healthy and you don’t have fillings or other dental restorations such as bridges or crowns on the teeth you would like to whiten.

Teeth whitening is also not ideal if you are:

  • Pregnant or nursing
  • Allergic to peroxide
  • Susceptible to sensitivity in your teeth

What Teeth Whitening Services Do We Offer?

We proudly offer our Anderson patients professional take-home teeth whitening services. We will give you detailed instructions on how to use your custom whitening trays and whitening gel in your home on your schedule. You can reuse your whitening trays over and over until you reach the beautiful smile you want.

Do You Need Professional Teeth Whitening in Anderson?

If you want to schedule an appointment with our dental team, please call (864) 760-1611.

Meet Our Doctor:

Anderson dentist Dr. Patrick Carter , D.M.D.

Dr. Patrick Carter D.M.D.

Dr. Carter was born and raised in the small town of Elliott, SC where his parents owned and operated their own music label Ripete Records. Coming from a long bloodline of Clemson Alumni, it was no surprise that he attended Clemson University himself. He graduated from Clemson with a degree in Pre-Professional Health Studies in May 2007 and went on to attend the Medical University of South Carolina for dental school. He graduated from MUSC in May 2011 and immediately began associateships in Anderson and Abbeville.  
 
Dr. Carter spent many ...

Featured Blog Posts - Cosmetic Dentistry

January 26, 2024

Popular Non-Invasive Cosmetic Procedures

close up of person using invisalign from anderson dental office

Modern cosmetic dentistry means you can transform your smile without invasive treatments or dental surgery. Your cosmetic dentist in Anderson, SC, is pleased to offer a full range of treatments and procedures to help you achieve your best smile.

Non-Invasive Cosmetic Dentistry in Anderson

You can achieve a natural look without ...

November 7, 2023

Cosmetic Dentistry for Different Ages: Enhancing Smiles from Teens to Seniors in Anderson, SC

teen girl smiling while wearing braces

Beautiful smiles know no age limits. Thanks to modern cosmetic dentistry, they are available to anyone at any stage of life!

Whatever a person’s age, cosmetic dentistry can play a vital role in enhancing both self-esteem and oral health. From orthodontic treatments for teens to teeth whitening and veneers for ...

July 19, 2023

Top Cosmetic Dentistry Services at Our Anderson Dental Office

woman smiling at dental mirror after cosmetic dentistry in anderson, SC

Has your smile lost a bit of its sparkle? Maybe you have chipped teeth that keep you from smiling your best smile. Or perhaps crooked teeth have you feeling self-conscious? Whatever the case may be for you, rest assured that cosmetic dentistry in Anderson can help you achieve the ...

We Can Help Perfect Your Smile—Call Us Now
Schedule with Us