Before & After Photos
Creating healthy, beautiful smiles is what we do best!
We love seeing the transformation when we help a patient get out of pain or achieve a beautiful smile that makes them feel confident. Take a moment to look through some of our before-and-after photos and imagine the possibilities when you have your dentistry done with Dr. Patrick Carter here at Hopewell Family Dentistry.


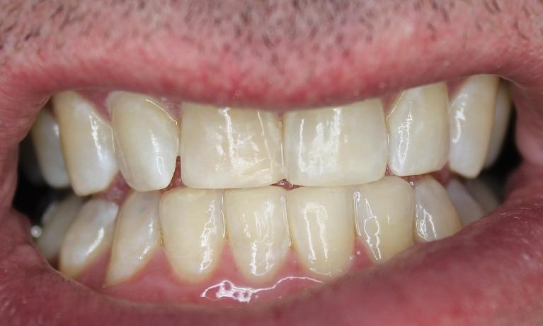
In around a year, we were able to correct this misaligned upper tooth with clear aligner therapy. The patient can smile big again!
A slip and fall accident resulted in this badly broken tooth. Dr. Carter was able to repair the insisor with composite bonding to make it look as good as new.
This patient had an existing denture that was severely worn from only having front teeth on the bottom. Our Anderson dentists helped give this patient a new smile that should last, with a life-like denture and a new partial on the bottom.


A strong zirconia bridge was used to replace several missing teeth in the front to give a permanent replacement of the missing teeth. The patient is smiling again!


Dr. Carter placed implants on the upper and lower arch. These implants were used to secure a snap on denture with ultimate comfort.


This patient needed to have complete replacement of their existing teeth. A traditional denture on the upper and locator overdenture on top of implants for the lower arch were done to give this patient their smile back.


This patient came in thinking his teeth were too worn to save and would need dentures. We used his remaining tooth and added composite to restore his teeth back to a normal appearance. The patient was thrilled that we were able to save his teeth.


This patient broke their tooth and we were able to repair in one quick appointment. The patient's smile is as good as new again.


This patient was tired of the space between her teeth. We were able to fix the space in one quick appointment.


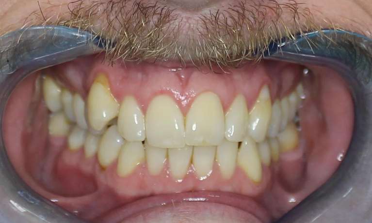
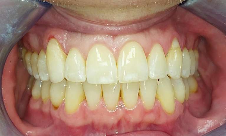
After years of wear and missing teeth, zirconia crowns were used to restore his bite to the way it was years ago.


Dr. Carter was able to straighten this patients with aligners in 7 months.


This patient's tooth had turned grey after a root canal. Internal bleaching was done in our Anders clinic and the tooth returned back to its natural shade.


Patient had worn teeth down over many years. We were able to restore his teeth back to the proper length and form they should have been in two appointments.


This patient has significant decay on his front two teeth. We used ceramic crowns to repair and restore them to match his existing teeth.


This older gentleman had broken his teeth down over time and his family wanted to help improve his smile. In one quick appointment, our Anderson dentists gave him a new smile back with direct composite.


This tooth was broken from opening a plastic container. We were able to restore this tooth with direct composite in one appointment.




This patient wore clear aligners for around a year to greatly improve lower crowding and smile.


This patient wanted to replace some missing teeth and thought a denture was her only option. We gave a solution of composite bridges and the patient was thrilled to have her smile back again.
This cracked premolar was unable to be saved and had to be extracted. An implant was placed at the same time as the extraction and a ceramic crown was attached to the implant later. This patient's smile looks like no tooth was ever missing.


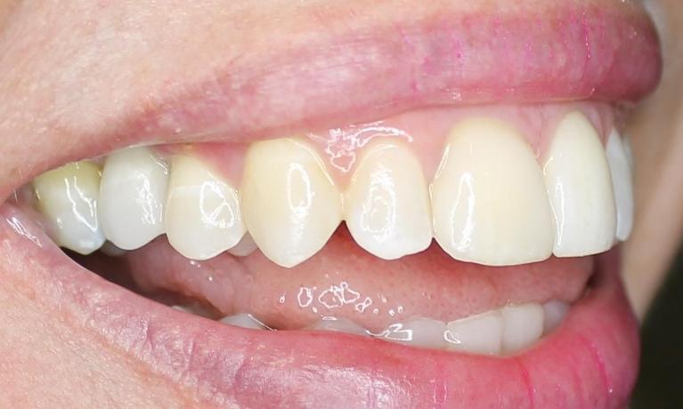
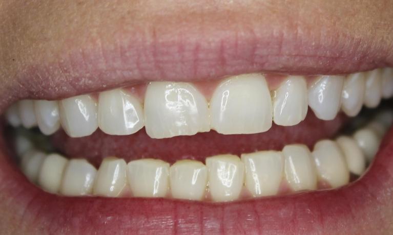
Patient had an old crown that a space had developed and was too long. Composite was added to the adjacent tooth #9 and a new zirconia crown was placed for tooth #8.


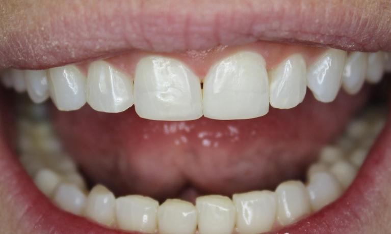
This young patient was unhappy with the space between her front teeth. In under an hour and by placing direct composite this patient loved her new smile.


These gold crowns needed to be replaced due to poor fit and the patient ready to have natural teeth again. All ceramic Emax crowns were placed.
This patient avoided going to the dentist for many years due to fear. After taking an oral sedative, this patient had multiple teeth extracted while we replaced his smile with a partial denture. The appointment went very smooth and the patient is very happy to smile again.
A combination of composite bonding and Emax crowns restored this smile after wear and erosion had removed significant tooth structure.
Dr. Carter was able to fix this very dark dental decay in just one visit with composite fillings. Composite fillings look natural and hold up well over time.
A sports injury caused a large break in this front tooth. With no anesthetic required, Dr. Carter restored this tooth quickly to how it looked before the injury.
This old dental crown broke and needed to be replaced due to its appearance. The old porcelain-fused-to-metal crown was replaced with an all-ceramic crown, which blends much nicer with the adjacent teeth.
Dr. Carter was able fix this front tooth that had been chipped from biting her fingernails with matching direct composite.


This patient was interested in improving her smile. Dr. Carter gave the patient a conservative plan of whitening and direct composite veneers on two teeth to build them up like her adjacent teeth. The patient was very happy with the appearance of her teeth when we were finished.
This patient had an old bonding that did not match her teeth. By reshaping one tooth and doing a new bonding on another, Dr. Carter was able to get these two teeth to match very well.
Dr. Carter did incisal edge bonding on these teeth to restore the teeth to a more natural level edge.
This patient had an existing crown that had several problems including having metal around the gumline and a very white appearance that caused it to look very noticeable. The existing crown was removed and replaced with an all ceramic Emax that blended in with the rest of his smile much better.
A cavity on this patient's front tooth was fixed with composite filling to look as natural as ever.
This patient had cracked a tooth and had to have it removed years ago. The patient had a flipper partial that she wore for years that she did not like. An implant was placed and later a crown attached to give this patient a tooth that felt and acted just like all of the rest of her teeth. She was very excited to not have to wear a removable partial for any longer.
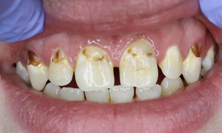
This patient loved to drink mountain dew which cause significant decay on his front teeth. Composite fillings were placed to stop the decay and give this patient his smile back.
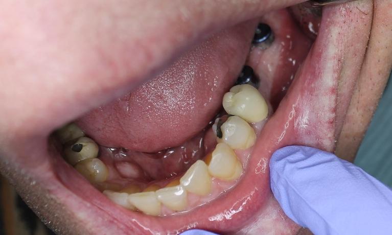
Restoring these two implants with crowns allowed the patient to chew again on his left side.
This patient had erosion and staining from swishing his coffee. New composite fillings were placed to correct missing tooth structure and eliminate the staining.
Decay had destroyed a significant portion of this patient's front teeth. All ceramic full coverage crowns were used to restore the teeth back to how they were before the decay had started.
This patient was having sensitivity and pain from extreme wear of her front teeth. Composite bonding was used to build the teeth back to their original shaped and eliminate the sensitivity and pain she was having. The patient is thrilled about smiling again.