Skip to main content
Accessible Version
Hopewell Family Dentistry
Dr. Patrick Carter
3454 N. Hwy. 81
Anderson, SC 29621
Home
About Us
Our Team
Technology
Office Pictures
Services
View All
Clear Aligners
Emergency Dental Care
Dental Implants
Cosmetic Dentistry
Sedation Dentistry
Extractions and Wisdom Teeth
Fillings, Crowns, and Bridges
Pediatric Dentistry
Dentures
Periodontal (Gum) Treatments
Preventive Dentistry
Root Canal Therapy
Gallery
Testimonials
Patient Info
View Patient Info
Financial
FAQs
Forms
Blog
View All
General Topics
Clear Aligners
Cosmetic Dentistry
Dental Implants
Dentures
Emergency Dental Care
Extractions and Wisdom Teeth
Fillings, Crowns, and Bridges
Pediatric Dentistry
Preventive Dentistry
Root Canal Therapy
Sedation Dentistry
Contact
Hopewell Family Dentistry
Dr. Patrick Carter
3454 N. Hwy. 81
Anderson, SC 29621
Schedule an Appointment
Like us on Facebook
Visit us on Yelp
Watch our Youtube Videos
Leave a Google Review
(864) 760-1611
3454 N. Hwy. 81
Anderson, SC
Schedule An Appointment
Hopewell Family Dentistry
>
Gallery
>
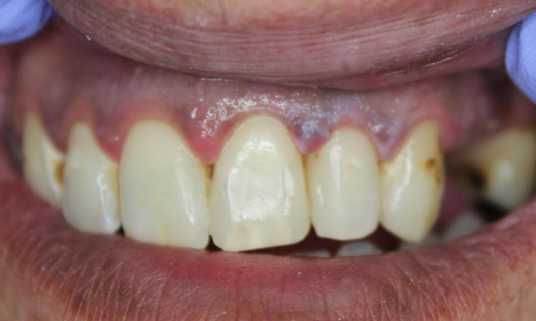
Anterior Composite Filling
Anterior Composite Filling
Return to Smile Gallery
Previous
Next
A cavity on this patient's front tooth was fixed with composite filling to look as natural as ever.
Related Services:
Cosmetic Dentistry
Fillings, Crowns, and Bridges
Before
After
Improve your smile today – call to schedule a consultation!
Claim Now!
OK!
×
×
Contact Us Today
Give Us A Call
Hopewell Family Dentistry -
(864) 760-1611
Send Us an Email
Book Online
Contact Us
Ready to Schedule an Appointment?
Book Online
Have Questions? Contact Us:
Required Field
Your Name:
Phone:
Email:
Are you a new patient?:
Are you a?
New Patient
Current Patient
How would you like us to contact you?
Please choose
Email
Call
How did you hear about us?
Please choose
I'm an existing patient
Google/Bing
Mailer
Word of mouth
Social media
Other
Who Referred You?:
Appointment Preferences
Monday
Tuesday
Wednesday
Thursday
Friday
Your Message:
This site is protected by reCAPTCHA and the Google
Privacy Policy
and
Terms of Service
apply.
Sending...
×
This Patient's Experience
Loading Testimonial...
Loading Case...